FEES
Ergänzendes Angebot bei Dysphagie (Schluckstörung) bei Kindern mit und ohne Erkrankungen der Speiseröhre
Das therapeutische Leistungsspektrum umfasst alle Bereiche der Physiotherapie, Ergotherapie und Logopädie während des stationären Aufenthalts auf der Kinderchirurgie.
Als Ergänzung dazu bietet die Kinderchirurgie ein erweitertes Angebot für alle Themen rund um das Schlucken, Essen und Trinken bei Kindern mit Erkrankungen der Speiseröhre (z.B. Ösophagusatresie). Nach der stationären Versorgung ist die weiterführende Beratung der betroffenen Kinder und ihrer Familien unkompliziert möglich, genauso wie eine bedarfsorientierte therapeutische Begleitung im Rahmen der ärztlichen Sprechstunden. Zudem wird auf Wunsch der Eltern ein enger Austausch mit den ambulant arbeitenden Therapeutinnen und Therapeuten angeboten.
Seit 2024 schließt die FEES („fiberendoscopic evaluation of swallowing“) als flexible endoskopische Schluckuntersuchung eine wichtige Lücke in der Abklärung kindlicher Schluckstörungen und ist als Ergänzung zur klinisch-logopädischen Schluckuntersuchung (KSU) bei Bedarf stationär oder ambulant verfügbar. Nach einer multidisziplinären Indikationsstellung findet diese Untersuchung als „Tandemuntersuchung“ statt, d.h. sie wird gemeinsam von Schlucktherapeut/in und Arzt/Ärztin durchgeführt und liefert wichtige Informationen über den Mechanismus einer Schluckstörung, mögliche Therapieansätze und kann Aspirationen – also das Eindringen von Sekret, Flüssigkeiten oder Speisen in den unteren Luftweg – sichtbar machen.
FEES bedside, Kind und Mutter schauen auf Wunsch direkt bei der Videoaufnahme zu.
FEES bedside, Schluckversuch mit breiiger Konsistenz.
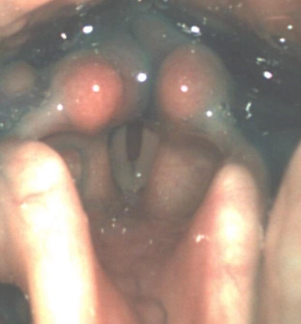
Blick mit dem Endoskop von oben auf den Kehlkopf eines Kleinkindes. Es handelt sich um einen Normalbefund.
Angefärbte Milchreste auf der Innenseite des Kehldeckels bei einem Säugling.
Penetration und Aspiration von angefärbtem Brei bei einem Kleinkind.